Close
Weather forecast Belgrade 6 ℃
Partially cloudy with rain
Forecast for the next 5 days
3DENT BELGRADE Radiology Belgrade translate.Član 5 godina

3DENT BELGRADE

Radiology Belgrade
Promotion
Navigation Send message Rate this business Like I was here Report an error!

Working hours

Monday 08:00 - 20:00
Tuesday 08:00 - 20:00
Wednesday 08:00 - 20:00
Thursday 08:00 - 20:00
Friday 08:00 - 20:00
Saturday 09:00 - 16:00
Sunday We are closed

PUBLIC TRANSPORTATION

  • Bus: 20, 29N, 38, 50, 17, 308, 31, 310, 50, 308, 38, E1

Additional Locations

Useful information

Works 24h Pet Friendly Wheelchair accessible Parking

You can get your teeth scanned quickly and easily, without waiting or making an appointment. We have free parking and we welcome pets.

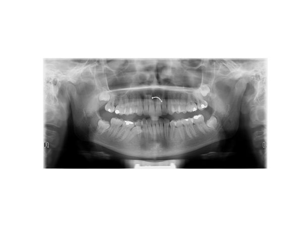
We perform all types of dental, jaw, sinus, and cervical vertebrae imaging, with the following three types being the most requested:

  • Orthopantomogram (digital panoramic X-ray of the entire jaw)

  • Retroalveolar X-ray (small image of individual teeth)

  • 3D CBCT scans (three-dimensional imaging)

You can view our full list of services HERE

CBCT scans, i.e. 3D scans, represent a significant advancement over the CT scanning technique currently considered standard in radiological diagnostics. There are numerous advantages that 3D imaging technology offers, especially in the field of dental and maxillofacial diagnostics, as well as imaging of the paranasal sinuses.

Advantages and disadvantages of CBCT scans

Advantages:

  • Significantly reduced radiation dose — 90 kV compared to medical CT which uses 120 kV.

  • The entire scan is completed in a single exposure and rotation of the radiological tube around the region being scanned.

  • Up to 10 times lower radiation dose during 3D scans of the maxillofacial or oral region compared to CT scans.

  • The metric characteristics of the scan allow for more precise measurements, which is especially important in dentistry.

Disadvantages:

  • The only drawback of 3D scans compared to CT scans is slightly lower densitometry, making them less suitable for scientific protocols, but still perfectly adequate for clinical use.

In emergency cases, we offer 24/7 service every day of the week.
Opening the center outside regular hours is charged 2,000.00 RSD.

Photo


Call us
ChecIn
Write
Rate
Navigation